top of page
Buscar


No olvides como aplicar tu tecnica de cepillado
+ Tecnica - Fuerza

Carlos Martinez
15 sept 20241 Min. de lectura


Indicaciones Post Extraccion
Te realizaste una extraccion dental pero la historia no termina alli...

Carlos Martinez
8 sept 20241 Min. de lectura


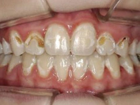
Conoce la bebida mas letal para tus dientes
El deterioro de tus dientes no es debido a la mala suerte, estamos tan culturizado en comer y tomar cosas, que no alcanzamos a ver lo...

Carlos Martinez
1 sept 20241 Min. de lectura


Paciente comparte toda su experiencia previa con Ortodoncia y como llego a KOi buscando respuestas a su caso
El momento de tomar acción y cambiar tu manera de sonreír es ahora En un año desearás haber comenzado hoy. La mejor opción para tu...

Carlos Martinez
25 ago 20241 Min. de lectura


5 Problemas que la Ortodoncia puede Solucionar
La idea generalizada es que es un tratamiento meramente estético. La realidad es más compleja y, además de una bonita sonrisa, ofrece...

Carlos Martinez
18 ago 20242 Min. de lectura


Edades para la Ortodoncia
Es algo muy común tener dudas acerca de cuál es la edad recomendable para iniciar un tratamiento de ortodoncia y podemos distinguir en...

Carlos Martinez
11 ago 20242 Min. de lectura


Como se sienten con el tratamiento de ortodoncia
La mejor opción para tu tratamiento de Ortodoncia en Margarita con resultados comprobables es en KOi dental Haz click en en nuestro...

Carlos Martinez
4 ago 20241 Min. de lectura


Peligros De La Ortodoncia
Antes de comenzar primero es mi deber explicarte de manera muy sencilla y resumida como ocurre el movimiento de un diente cuando tiene...

Carlos Martinez
28 jul 20242 Min. de lectura


La fórmula secreta para la Ortodoncia
Una vez baja la algarabía por querer tener instalada tu ortodoncia, hay varios puntos que debes tener claros mientras transitas por todo...

Carlos Martinez
21 jul 20242 Min. de lectura


Ellos finalizaron su Ortodoncia
Cada paciente es una historia que contar y quiero que me acompañes a ver alguno de los testimonios de quienes ya han finalizado su...

Carlos Martinez
14 jul 20241 Min. de lectura


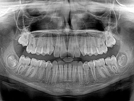
Ortodoncia sin Radiografía Ortodoncia a Ciegas
Si en algún momento fueras a someterte a un procediendo quirúrgico (no Odontologico) y NO te piden estudios previos (exámenes de sangre,...

Carlos Martinez
7 jul 20242 Min. de lectura


Tratamientos previos a la Ortodoncia
Actualmente existe un fenómeno de inmediatez a nivel general y mi práctica diaria no se escapa de eso. Actualmente existe un fenómeno de...

Carlos Martinez
30 jun 20242 Min. de lectura
bottom of page






