Tratamientos previos a la Ortodoncia
- Carlos Martinez

- 30 jun 2024
- 2 Min. de lectura
Actualizado: 20 ago 2025
Actualmente existe un fenómeno de inmediatez a nivel general y mi práctica diaria no se escapa de eso.

Actualmente existe un fenómeno de inmediatez a nivel general y mi práctica diaria no se escapa de eso.
Cuando un paciente acude a mi pidiendo información sobre el tratamiento de ortodoncia en algunas ocasiones por querer tener instalado el tratamiento de forma inmediata desconocen porque hay que seguir un protocolo previo a la instalación de ortodoncia.
Cuando no se cumplen estos protocolo Antes de la instalación, la cantidad de problemas que se pueden desencadenar a futuros son muy grande hasta el punto que el paciente puede perder desde uno o varias piezas dentales.

Entendamos que la ortodoncia es un tratamiento médico como cualquier otro con un fin específico y debe ser tratado como tal
Una vez diagnosticada la necesidad del tratamiento y antes de la colocación de los brackets, es necesario realizar una revisión completa de la boca para asegurarse de que está sana, prestando especial atención a que:
las encías estén sanas. Es decir, que no exista gingivitis ni enfermedad periodontal o que esta no esté en fase activa.
no estar enfermo de caries y tratar las lesiones que tengas activas

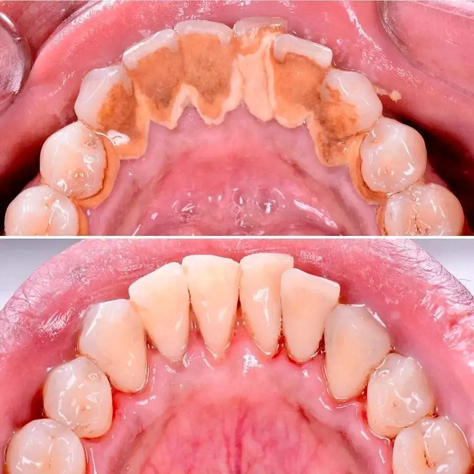
Antes de ponerse brackets es obligatorio realizarse una limpieza dental. No sólo porque facilita el trabajo del profesional a la hora de pegar los brackets a la superficie del diente, sino que ayudará al control de la placa y comenzará con la boca en las mejores condiciones posibles
Si tengo caries me puedo poner brackets?

La respuesta es no. Antes de realizarnos un tratamiento de ortodoncia, debemos tener la boca sana y sin caries. En primer lugar, porque las caries tienen que tratarse lo antes posible antes de que afecten más a nuestras piezas dentales y puedan derivar en una endodoncia (tratamiento de conducto) o incluso en la pérdida dental.
Por otro lado, la ortodoncia hace que sea más complicado llevar una correcta higiene dental. Es por ello que es imprescindible no sólo tener la boca en perfectas condiciones antes de instalar la ortodoncia, sino que los controles y las limpiezas deben realizarse con una mayor frecuencia (en vez de una vez al año, podemos realizarnos limpiezas incluso cada 3 meses).
Si quieres saber más información sobre nuestro servicio de Ortodoncia con gusto te estaré ayudando, nos vemos










Comentarios